欢迎访问作物学报,今天是

作物学报 ›› 2025, Vol. 51 ›› Issue (12): 3133-3143.doi: 10.3724/SP.J.1006.2025.52012

• 作物遗传育种·种质资源·分子遗传学 • 上一篇    下一篇

抗白叶枯病广亲和恢复系的创制及杂交育种应用研究

谢留杰, 段敏1, 杨勇2, 潘晓飚1, 马伯军3, 黄善军1,*(), 陈析丰3,*()   

  1. 1台州市农业科学研究院, 浙江台州 318000
    2浙江省农业科学院, 浙江杭州 310000
    3浙江师范大学生命科学学院, 浙江金华 321004
  • 收稿日期:2025-04-24 接受日期:2025-09-10 出版日期:2025-12-12 网络出版日期:2025-09-23
  • 通讯作者: *黄善军, E-mail: 406716425@qq.com;陈析丰, E-mail:xfchen@zjnu.cn
  • 基金资助:
    本研究由浙江省基础公益研究计划项目(LTGN24C130002);本研究由浙江省基础公益研究计划项目(LQ24C060003);浙江省农业新品种选育重大科技专项(2021C02063-5-5)

Development of wide-compatibility restorer lines resistant to bacterial blight and their application in rice hybrid breeding

XIE Liu-Jie, DUAN Min1, YANG Yong2, PAN Xiao-Biao1, MA Bo-Jun3, HUANG Shan-Jun1,*(), CHEN Xi-Feng3,*()   

  1. 1Taizhou Research Academy of Agriculture Sciences, Taizhou 318000, Zhejiang, China
    2Zhejiang Academy of Agricultural Sciences, Hangzhou 310000, Zhejiang, China
    3College of Life Sciences, Zhejiang Normal University, Jinhua 321004, Zhejiang, China
  • Received:2025-04-24 Accepted:2025-09-10 Published:2025-12-12 Published online:2025-09-23
  • Contact: *E-mail: 406716425@qq.com;E-mail: xfchen@zjnu.cn
  • Supported by:
    Basic Public Welfare Research Project of Zhejiang Province(LTGN24C130002);Basic Public Welfare Research Project of Zhejiang Province(LQ24C060003);Zhejiang Province Major Science and Technology Special Project for the Breeding of New Agricultural Varieties(2021C02063-5-5)

摘要: 以镇恢084 (Xa7)、IRBB21 (Xa21)、CBB23 (Xa23)、IRBB27 (Xa27)为供体亲本, 开发和利用基因功能性分子标记, 将目标基因导入并聚合到广亲和恢复系F7540中; 采用9个白叶枯病生理小种对改良的恢复系及其轮回亲本进行抗性鉴定; 选择6个抗性改良的恢复系分别与3个籼稻(不育系泰1S、荃9311A、华浙2A)和3个粳稻不育系(春江16A、春江88A、华中2A)杂交, 用菌株浙173和PXO99接种不育系、恢复系和杂交组合, 同时考察亲本和杂交组合的农艺性状。结果表明, 通过多代选育, 共获得9个不同抗性基因组合的导入系; 其中, 恢复系F7540-Xa7- Xa23-Xa27的抗病能力最强, 对9个生理小种均表现为高抗, F7540-Xa7-Xa23和F7540-Xa23对9个生理小种表现为抗或高抗, F7540-Xa7-Xa21和F7540-Xa7-Xa21-Xa27对8个生理小种表现为抗病, F7540-Xa7和F7540-Xa21分别抗7个和2个生理小种, 而F7540-Xa27对所有供试小种均表现为感病。杂交组合接种浙173和PXO99两个生理小种的结果显示, F7540-Xa23和F7540-Xa7-Xa23配组的所有组合均表现为抗病, F7540-Xa7-Xa21与3个粳稻不育系配组的组合均表现为抗病, F7540-Xa21与不育系荃9311A配制的组合表现为抗病。综合考查抗性及农艺性状发现, F7540-Xa23与不育系春江88A和荃9311A配组的杂交组合抗病性好、农艺性状优异, 有较高的育种利用价值。

关键词: 抗性基因, 白叶枯病, 基因聚合, 广亲和恢复系, 杂交育种

Abstract:

Zhenghui 084 (Xa7), IRBB21 (Xa21), CBB23 (Xa23), and IRBB27 (Xa27) were used as donor parents to develop gene-specific functional molecular markers and introduce target resistance genes into the wide-compatibility restorer line F7540 through gene pyramiding. The resulting improved restorer lines, along with recurrent parents, were inoculated with nine races of Xanthomonas oryzae pv. oryzae (Xoo). Six improved resistant restorer lines were then crossed with three indica male sterile lines (Tai 1S, Quan 9311A, Huazhe 2A) and three japonica male sterile lines (Chunjiang 16A, Chunjiang 88A, Huazhong 2A). Both hybrid combinations and parental lines were inoculated with two representative Xoo races, Zhe173 and PXO99, and agronomic traits were also evaluated. The results showed that nine restorer lines carrying various resistance genes were successfully developed through multi-generation selection. Among them, F7540-Xa7-Xa23-Xa27 exhibited high resistance to all nine Xoo races. F7540-Xa7-Xa23 and F7540-Xa23 also showed resistance or high resistance to all nine races. Lines F7540-Xa7-Xa21 and F7540-Xa7-Xa21-Xa27 were resistant to eight races, while F7540-Xa7 and F7540-Xa21 were resistant to seven and two races, respectively. Notably, F7540-Xa27 showed no resistance to any of the tested races. In the hybrid inoculation tests with Zhe173 and PXO99, all combinations involving F7540-Xa23 and F7540-Xa7-Xa23 showed disease resistance. Hybrids derived from F7540-Xa7-Xa21 crossed with japonica male sterile lines also exhibited resistance. Additionally, the combination of F7540-Xa21 and Quan 9311A was resistant to disease. Comprehensive evaluation of resistance and agronomic performance indicated that the hybrid combinations of F7540-Xa23 with Chunjiang 88A and Quan 9311A possessed excellent disease resistance and favorable agronomic traits, demonstrating high breeding potential.

Key words: resistance genes, bacterial blight, gene pyramiding, wide-compatibility restorer line, hybrid breeding

表1

抗性基因功能分子标记的序列"

基因名称
Gene name
引物名称
Primer name
序列
Sequence (5′-3′)
抗病/感病
Resistant (R) /susceptible (S)
产物片段
Product size (bp)
Xa7 M6 F GGGAGAAATTGGCCCCAGTTAGAGAA R 306
M6 R GCTTCACTTGATCACTGCTGTTTG S 531
Xa23 P23 F TGCCACAGCCAAAGTATGATGCT R 474
P23 R TTGGCCCCTGCAGAGAAGGC S 600
RM206 F CCCATGCGTTTAACTATTCT R 117
RM206 R CGTTCCATCGATCCGTATGG S 173
Xa27 G27 F TAGTGTCTAAATACAGGGACT R 175
G27 R GAGTACTTTGCTCTGATGCTC S 149
Xa21 Xa21-IF1 GCTAAATATAGCTAGTTCATAGAG R 169
Xa21-IR1 TTACTCAAATTTGATCCTTCTG S 142
Xa21-IF2 ACATAATTATACATCCAAGTTCT R 155
Xa21-IR2 CACTAGAATTCCATAGCTGTAA S 133

图1

Xa21基因功能分子标记的设计 M: marker; 1: IRBB21; 2: IRBB5; 3: 镇恢084; 4: CBB23; 5: IRBB27; 6: F7540; 7: 明恢63; 8: 9311; 9: 日本晴。"

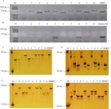
图2

分子标记检测抗性改良恢复系基因型 A: 分子标记P23检测Xa23位点; B: 分子标记M6检测Xa7位点; C: 分子标记G27检测Xa27位点; D: 分子标记RM206检测Xa23位点: E: 分子标记Xa21-IF1检测Xa21位点; F: 分子标记Xa21-IF2检测Xa21位点。M: marker; 1~9分别为F7540-Xa7 (1)、F7540-Xa21 (2)、F7540-Xa23 (3)、F7540-Xa27 (4)、F7540-Xa7-Xa23 (5)、F7540-Xa7-Xa21 (6)、F7540-Xa21-Xa27 (7)、F7540-Xa7-Xa21-Xa27 (8)、F7540-Xa7-Xa21-Xa23 (9)共9个不同抗性基因的改良恢复系; 10: F7540。"

表2

抗性改良恢复系对9个白叶枯病生理小种的抗性反应"

生理小种
Physiological races
改良恢复系Improved resistant restorer lines F7540 金刚30
Jingang 30
F7540-Xa7 F7540-
Xa21
F7540-
Xa23
F7540-
Xa27
F7540-Xa7-Xa23 F7540-Xa7-Xa21 F7540-Xa21-Xa27 F7540-Xa7-
Xa21-Xa27
F7540-Xa7-
Xa23-Xa27
台州
Taizhou
S MR R S HR HR MR HR HR S HS
绍兴
Shaoxing
R MR HR S HR HR MR HR HR S HS
衢州
Quzhou
HR R HR MS HR HR R HR HR HS MS
金华2
Jinhua 2
HR MS HR S HR HR R R HR HS HS
金华3
Jinhua 3
R S HR S HR R R R HR HS HS
金华12
Jinhua 12
R S HR S HR R R R HR HS HS
海南
Hainan
R MS HR MS HR R R R HR S HS
PXO99 S MR HR HS R MS R MR HR HS HS
浙173
Zhe 173
HR R HR S HR HR MR R HR S HS

图3

改良恢复系对菌株浙173和PXO99的抗性"

表3

改良恢复系的杂交组合对菌株浙173的抗性"

恢复系
Restorer line
不育系Sterile line
泰1S
Tai 1S
(R)
华浙2A
Huazhe 2A
(S)
荃9311A
Quan 9311A (HS)
春江16A
Chunjiang 16A (R)
春江88A
Chunjiang 88A (S)
华中2A
Huazhong 2A (HS)
F7540-Xa7 (HR) R S S R MS MS
F7540-Xa21 (R) MR HS R R HS S
F7540-Xa23 (HR) HR HR R HR R R
F7540-Xa7-Xa21 (HR) HR R R R R R
F7540-Xa7-Xa23 (HR) HR HR HR HR HR R
F7540-Xa21-Xa27 (R) R HS MR R HS MR
F7540 (MS) S HS S MR S S

表4

改良恢复系的杂交组合对菌株PXO99的抗性反应"

恢复系
Restorer line
不育系Sterile line
泰1S
Tai 1S
(MR)
华浙2A
Huazhe 2A (HS)
荃9311A
Quan 9311A (HS)
春江16A
Chunjiang 16A (MR)
春江88A
Chunjiang 88A (S)
华中2A
Huazhong 2A (HS)
F7540-Xa7 (HS) HS HS HS HS S S
F7540-Xa21 (MR) S HS MR HS MR S
F7540-Xa23 (HR) HR R HR HR HR HR
F7540-Xa7-Xa21 (R) MS S S HR R MR
F7540-Xa7-Xa23 (R) MR MR R R R MR
F7540-Xa21-Xa27 (MR) MS S S S S S
F7540 (S) S HS HS S S HS

表5

抗性改良恢复系农艺性状表现"

恢复系
Restorer line
株高
PH
(cm)
生育期
GP
(d)
单株分蘖
PN
穗长
PL
(cm)
总粒数
TNP
实粒数
SNP
结实率
SF
(%)
千粒重
TGW
(g)
单株产量
GY
(g)
F7540-Xa7 127.0 f 128.0 c 10.33 e 23.3 a 308.3 d 266.9 d 86.6 e 24.8 c 34.03 e
F7540-Xa21 108.3 c 125.2 a 8.67 a 24.9 b 273.0 b 224.3 b 82.2 b 26.0 f 32.57 d
F7540-Xa23 107.0 b 126.2 b 10.00 d 24.9 b 223.1 a 173.7 a 77.9 a 25.6 e 24.37 b
F7540-Xa7-Xa21 128.3 g 129.1 d 8.67 a 27.5 f 344.7 g 295.9 g 85.8 d 25.2 d 31.43 c
F7540-Xa7-Xa23 124.0 e 127.5 c 9.67 c 25.6 d 279.8 c 244.8 c 87.5 f 25.6 e 35.43 f
F7540-Xa21-Xa27 114.3 d 129.5 d 9.00 b 25.8 e 332.2 e 290.2 e 87.4 f 23.0 a 38.53 g
F7540 103.0 a 124.4 a 9.00 b 25.3 c 340.7 f 283.9 f 83.3 c 24.2 b 20.40 a

表6

抗性改良恢复系杂交组合的农艺性状分析"

杂交组合
Combination
株高
PH (cm)
单株分蘖
PN
穗长
PL (cm)
总粒数
TNP
实粒数
SNP
结实率
SF (%)
千粒重
TGW (g)
单株产量
GY (g)
Tai 1S×F7540-Xa7 121.7 g 17.0 d 24.3 b 248.9 d 197.0 e 79.1 d 23.2 c 40.2 e
Tai 1S×F7540-Xa21 104.3 a 13.3 b 25.4 c 260.7 f 200.5 f 76.9 c 22.8 b 37.6 d
Tai 1S×F7540-Xa23 106.3 b 13.7 c 24.4 b 235.3 b 181.1 c 77.0 c 24.0 e 33.5 b
Tai 1S×F7540-Xa7-Xa21 111.7 c 12.7 a 25.8 d 244.5 c 163.1 b 66.7 a 22.4 a 31.9 a
Tai 1S×F7540-Xa7-Xa23 120.7 f 20.3 f 22.7 a 190.8 a 155.0 a 81.2 e 23.4 d 35.3 c
Tai 1S×F7540-Xa21-Xa27 114.3 d 19.0 e 24.3 b 255.0 e 195.0 d 76.5 c 22.4 a 41.6 f
Tai 1S×F7540 117.0 e 17.0 d 26.7 e 285.8 g 202.7 g 70.9 b 24.2 f 54.1 g
Quan 9311A×F7540-Xa7 129.0 f 11.3 b 33.2 d 287.8 f 192.5 d 66.9 b 28.6 e 39.9 b
Quan 9311A×F7540-Xa21 118.3 b 16.3 e 27.4 b 240.4 b 172.5 a 71.7 c 27.4 b 50.4 d
Quan 9311A×F7540-Xa23 120.3 c 18.7 g 27.5 b 270.9 c 196.4 e 72.5 d 27.6 c 56.7 g
Quan 9311A×F7540-Xa7-Xa21 133.3 g 10.3 a 28.1 c 313.8 g 189.5 c 60.4 a 26.6 a 31.8 a
Quan 9311A×F7540-Xa7-Xa23 122.7 d 15.7 d 25.3 a 223.7 a 184.1 b 82.3 e 28.0 d 45.4 c
Quan 9311A×F7540-Xa21-Xa27 125.3 e 12.7 c 28.0 c 281.9 e 205.1 f 72.8 d 27.6 c 54.4 f
Quan 9311A×F7540 114.3 a 16.7 f 25.2 a 278.3 d 205.2 f 73.7 f 27.5 bc 52.4 e
Huazhe 2A×F7540-Xa7 128.0 f 13.7 a 24.6 b 248.9 c 179.8 b 72.2 c 23.0 d 41.5 c
Huazhe 2A×F7540-Xa21 120.0 c 15.3 b 24.9 c 224.2 b 182.0 c 81.2 g 23.6 e 37.6 b
Huazhe 2A×F7540-Xa23 115.7 b 16.7 e 25.9 d 285.9 d 222.8 e 77.9 e 23.6 e 53.6 e
Huazhe 2A×F7540-Xa7-Xa21 122.0 d 16.3 d 27.0 f 303.4 e 214.3 d 70.6 b 21.0 a 45.0 d
Huazhe 2A×F7540-Xa7-Xa23 106.0 a 20.3 g 24.0 a 216.6 a 95.0 a 43.8 a 21.6 b 23.2 a
Huazhe 2A×F7540-Xa21-Xa27 123.3 e 19.0 f 32.8 g 383.0 g 293.0 g 76.5 d 23.0 d 53.8 e
Huazhe 2A×F7540 129.0 g 15.7 c 26.5 e 333.0 f 266.1 f 79.9 f 21.8 c 64.1 f
Chunjiang 16A×F7540-Xa7 134.5 g 15.3 f 22.7 e 348.6 e 318.5 g 91.4 e 23.4 a 60.8 g
Chunjiang 16A×F7540-Xa21 125.0 c 10.2 b 21.4 b 268.6 b 252.1 f 93.9 g 24.8 d 34.8 c
Chunjiang 16A×F7540-Xa23 122.3 b 13.3 d 21.4 b 282.5 d 149.0 a 52.8 a 25.8 f 28.7 b
Chunjiang 16A×F7540-Xa7-Xa21 129.0 d 10.5 c 21.1 a 267.7 b 249.4 e 93.1 f 24.2 c 23.0 a
Chunjiang 16A×F7540-Xa7-Xa23 132.7 f 13.7 e 21.8 c 276.5 c 218.7 c 79.1 c 26.2 g 35.6 d
Chunjiang 16A×F7540-Xa21-Xa27 131.0 e 13.7 e 22.4 d 243.4 a 201.2 b 82.7 d 24.0 b 41.1 f
Chunjiang 16A×F7540 117.0 a 9.7 a 21.0 a 366.7 f 236.8 d 64.6 b 25.2 e 38.1 e
Chunjiang 88A×F7540-Xa7 132.3 d 12.3 a 20.8 b 244.0 b 211.6 b 86.7 c 28.8 f 28.8 a
Chunjiang 88A×F7540-Xa21 121.0 a 18.3 g 21.8 d 387.4 f 356.8 g 92.1 d 26.8 c 65.9 g
Chunjiang 88A×F7540-Xa23 125.0 b 21.3 f 28.6 g 315.0 e 290.6 e 92.3 d 30.4 g 60.9 e
Chunjiang 88A×F7540-Xa7-Xa21 140.7 e 13.0 v 22.8 f 312.7 d 292.8 f 93.7 e 25.0 b 47.2 d
Chunjiang 88A×F7540-Xa7-Xa23 129.3 c 18.0 e 19.7 a 234.1 a 216.9 c 92.6 d 28.4 e 45.3 c
Chunjiang 88A×F7540-Xa21-Xa27 121.7 a 14.0 d 22.3 e 258.5 c 176.1 a 68.1 b 24.4 a 32.1 b
Chunjiang 88A×F7540 125.0 b 14.3 c 21.6 c 386.3 f 235.8 d 61.0 a 27.8 d 61.7 f
Huazhong 2A×F7540-Xa7 151.3 g 19.3 f 21.6 a 386.6 f 236.1 c 61.1 b 28.4 e 70.7 g
Huazhong 2A×F7540-Xa21 125.3 c 9.0 a 26.4 d 299.1 b 195.0 a 65.2 d 28.8 f 28.3 a
Huazhong 2A×F7540-Xa23 123.3 b 14.3 d 25.1 c 246.5 a 195.7 a 79.4 e 26.6 b 39.8 c
Huazhong 2A×F7540-Xa7-Xa21 145.3 f 9.0 a 28.2 g 337.5 d 208.3 b 61.7 c 27.4 d 37.6 b
Huazhong 2A×F7540-Xa7-Xa23 115.0 a 10.2 b 22.9 b 343.7 e 302.9 f 88.1 f 23.2 a 62.7 e
Huazhong 2A×F7540-Xa21-Xa27 140.3 e 16.3 e 27.2 f 312.7 c 278.9 e 89.2 g 27.2 c 67.4 f
Huazhong 2A×F7540 138.0 d 13.7 c 26.9 e 477.4 g 262.2 d 54.9 a 28.8 f 53.8 d
[1] 史波, 吴云雨, 陈浩, 管昌红, 刘凤权, 张红生, 鲍永美. 6省水稻主栽品种对白叶枯病菌的抗性鉴定. 南京农业大学学报, 2016, 39: 349-357.
Shi B, Wu Y Y, Chen H, Guan C H, Liu F Q, Zhang H S, Bao Y M. Resistance identification of commercial rice varieties to bacterial leaf blight in six provinces in China. J Nanjing Agric Univ, 2016, 39: 349-357 (in Chinese with English abstract).
[2] 张勇, 贝雪芳, 卢王印. 衢州水稻白叶枯病发生及综合防治对策探讨. 浙江农业科学, 2018, 59: 2196-2198.
doi: 10.16178/j.issn.0528-9017.20181214
Zhang Y, Bei X F, Lu W Y. Occurrence of rice bacterial blight in Quzhou and its integrated control measures. J Zhejiang Agric Sci, 2018, 59: 2196-2198 (in Chinese with English abstract).
[3] 潘晓飚, 陈凯, 张强, 黄善军, 谢留杰, 李美, 孟丽君, 徐正进, 徐建龙, 黎志康. 分子标记辅助选育水稻抗白叶枯病和稻瘟病多基因聚合恢复系. 作物学报, 2013, 39: 1582-1593.
doi: 10.3724/SP.J.1006.2013.01582
Pan X B, Chen K, Zhang Q, Huang S J, Xie L J, Li M, Meng L J, Xu Z J, Xu J L, Li Z K. Developing restorer lines pyramiding different resistant genes to blast and bacterial leaf blight by marker-assisted selection in rice. Acta Agron Sin, 2013, 39: 1582-1593 (in Chinese with English abstract).
doi: 10.3724/SP.J.1006.2013.01582
[4] 章琦. 中国杂交水稻白叶枯病抗性的遗传改良. 中国水稻科学, 2009, 23(2): 111-119.
Zhang Q. Genetics and improvement of resistance to bacterial blight in hybrid rice in China. Chin J Rice Sci, 2009, 23(2): 111-119 (in Chinese with English abstract).
[5] 冯爱卿, 汪聪颖, 张梅英, 陈炳, 封金奇, 陈凯玲, 汪文娟, 杨健源, 苏菁, 曾列先, 等. 中国水稻主产区白叶枯病菌致病型分析及近等基因系鉴别寄主的构建. 中国农业科学, 2022, 55: 4175-4195.
doi: 10.3864/j.issn.0578-1752.2022.21.007
Feng A Q, Wang C Y, Zhang M Y, Chen B, Feng J Q, Chen K L, Wang W J, Yang J Y, Su J, Zeng L X, et al. Pathotype analysis of Xanthomonas oryzae pv. oryzae in main rice producing regions of China and establishment of differential hosts of near-Isogenic lines. Sci Agric Sin, 2022, 55: 4175-4195 (in Chinese with English abstract).
[6] 蔡跃, 肖宁, 吴云雨, 余玲, 潘存红, 李育红, 周长海, 季红娟, 黄年生, 张小祥, 等. 抗稻瘟病和白叶枯病籼稻新种质R156的创制. 扬州大学学报(农业与生命科学版), 2023, 44(1): 21-28.
Cai Y, Xiao N, Wu Y Y, Yu L, Pan C H, Li Y H, Zhou C H, Ji H J, Huang N S, Zhang X X, et al. Development of new indica rice germplasm with resistance to blast and bacterial blight. J Yangzhou Univ (Agric Life Sci Edn), 2023, 44(1): 21-28 (in Chinese with English abstract).
[7] Huang B, Xu J Y, Hou M S, Ali J, Mou T M. Introgression of bacterial blight resistance genes Xa7, Xa21, Xa22 and Xa23 into hybrid rice restorer lines by molecular marker-assisted selection. Euphytica, 2012, 187: 449-459.
doi: 10.1007/s10681-012-0758-1
[8] 黄廷友, 李仕贵, 王玉平, 马玉清, 王玲霞. 蜀恢527抗水稻白叶枯病改良系的遗传背景和农艺性状分析. 作物学报, 2004, 30: 563-567.
Huang T Y, Li S G, Wang Y P, Ma Y Q, Wang L X. Analysis of genetic background and agronomic traits in improved restoring lines Shuhui 527 with resistance to bacterial blight. Acta Agron Sin, 2004, 30: 563-567 (in Chinese with English abstract).
[9] Wang S G, Liu W, Lu D B, Lu Z H, Wang X F, Xue J, He X Y. Distribution of bacterial blight resistance genes in the main cultivars and application of Xa23 in rice breeding. Front Plant Sci, 2020, 11: 555228.
[10] 黄宣, 金林灿, 叶朝辉, 姜洁锋, 施贤波. 浙江近年育成粳稻新品种(系)部分抗病虫基因的分子检测与育种应用. 浙江农业学报, 2021, 33: 1159-1169.
doi: 10.3969/j.issn.1004-1524.2021.07.01
Huang X, Jin L C, Ye C H, Jiang J F, Shi X B. Molecular detection and breeding application of some disease and insect resistance genes of Japonica rice varieties/lines recently developed in Zhejiang province. Acta Agric Zhejiangensis, 2021, 33: 1159-1169 (in Chinese with English abstract).
[11] 谢留杰, 段敏, 余山红, 潘晓飚, 陈析丰, 黄善军. 浙江省晚粳稻主栽品种白叶枯病抗性鉴定及抗病基因检测. 分子植物育种, 2024, 22: 3204-3212.
Xie L J, Duan M, Yu S H, Pan X B, Chen X F, Huang S J. Resistance identification of bacterial blight and resistance gene test of commercial cultivars of Japonica rice in Zhejiang. Mol Plant Breed, 2024, 22: 3204-3212 (in Chinese with English abstract).
[12] 陈天晓, 朱亚军, 密雪飞, 陈凯, 孟丽君, 左示敏, 徐建龙. 利用水稻MAGIC群体关联定位白叶枯病抗性QTL和创制抗病新种质. 作物学报, 2016, 42: 1437-1447.
Chen T X, Zhu Y J, Mi X F, Chen K, Meng L J, Zuo S M, Xu J L. Mapping of QTLs for bacterial blight resistance and screening of resistant materials using MAGIC populations of rice. Acta Agron Sin, 2016, 42: 1437-1447 (in Chinese with English abstract).
doi: 10.3724/SP.J.1006.2016.01437
[13] Liu P C, Mei L, He L M, Xu Y L, Zhang Y T, Zeng D L, Zhang X M, Qian Q, Chen X F, Ma B J. Development of markers for identification and maker-assisted breeding of Xa7 gene in rice (Oryza sativa L.). Euphytica, 2021, 217: 134.
doi: 10.1007/s10681-021-02869-x
[14] 周雷, 陈志军, 马银花, 刘凯, 李三和, 杨国才, 胡刚, 万丽云, 游艾青.水稻白叶枯病抗性基因Xa23的分子标记优化及应用, 湖北农业科学, 2011, 50: 5244-5249.
Zhou L, Chen Z Z, Ma Y H, Liu K, Li S H, Yang G C, Hu G, Wan L Y, You A Q. Optimization and application of marker for bacterial blight resistance gene Xa23 in rice. Hubei Agric Sci, 2011, 50: 5244-5249 (in Chinese with English abstract).
[15] Yu P, Wang X M, Yuan X P, Wang C H, Wei X H, Assessment of a functional marker for bacterial blight resistance gene locus Xa27 in rice. J Plant Pathol, 2015, 97: 511-513.
[16] IRRI (International Rice Research Institute). Standard Evaluation System for Rice (SES). Manila: International Rice Research Institute, 2013. pp 32-34.
[17] Lu Y D, Zhong Q F, Xiao S Q, Wang B, Ke X, Zhang Y, Yin F Y, Zhang D Y, Jiang C, Liu L, et al. A new NLR disease resistance gene Xa47 confers durable and broad-spectrum resistance to bacterial blight in rice. Front Plant Sci, 2022, 13: 1037901.
[18] Zhang Q. Genetics and improvement of bacterial blight resistance of hybrid rice in China. Rice Sci, 2009, 16: 83-92.
doi: 10.1016/S1672-6308(08)60062-1
[19] Khan M A, Naeem M, Iqbal M. Breeding approaches for bacterial leaf blight resistance in rice (Oryza sativa L.), current status and future directions. Eur J Plant Pathol, 2014, 139: 27-37.
doi: 10.1007/s10658-014-0377-x
[20] 成太辉, 陈深, 杨健源, 朱小源, 伍圣远, 洪启金, 曾列先. 水稻抗白叶枯病V型菌xa5基因利用现状及前景. 广东农业科学, 2020, 47(1): 92-97.
Cheng T H, Chen S, Yang J Y, Zhu X Y, Wu S Y, Hong Q J, Zeng L X. Utilization situation and prospect of gene xa5 against pathotype V of rice bacterial blight. Guangdong Agric Sci, 2020, 47(1): 92-97 (in Chinese with English abstract).
[21] 张进锋. 运用DNA标记辅助选择聚合白叶枯病抗性基因改良杂交水稻. 华中农业大学硕士学位论文,湖北武汉, 2003.
Zhang J F.Pyramiding Bacterial Blight Resistance Genes in Hybrid Rice Improvement Using DNA Marker-Assisted Selection. MS Thesis of Huazhong Agricultural University, Wuhan, Hubei, China, 2003 (in Chinese with English abstract).
[22] 章琦, 赵炳宇, 赵开军, 王春连, 杨文才, 林世成, 阙更生, 周永力, 李道远, 陈成斌. 普通野生稻的抗水稻白叶枯病 Xanthomonas oryzae pv. oryzae新基因Xa-23(t)的鉴定和分子标记定位. 作物学报, 2000, 26: 536-542.
Zhang Q, Zhao B Q, Zhao K J, Wang C L, Yang W C, Lin S C, Que G S, Zhou Y L, Li D Y, Chen C B. Identification and mapping a new gene Xa-23(t) for resistance to bacterial blight (Xanthomonas oryzae pv. Oryzae) from O.rufipogon. Acta Agron Sin, 2000, 26: 536-542 (in Chinese with English abstract).
[23] 向贤, 陈露露, 张丹丹, 翟文学, 夏志辉. 水稻白叶枯病抗性基因物理图谱定位与功能标记. 分子植物育种, 2019, 17: 509-516.
Xiang X, Chen L L, Zhang D D, Zhai W X, Xia Z H. Physical mapping and functional markers of bacterial blight resistance genes in rice. Mol Plant Breed, 2019, 17: 509-516 (in Chinese with English abstract).
[24] Song W Y, Wang G L, Chen L L, Kim H S, Pi L Y, Holsten T, Gardner J, Wang B, Zhai W X, Zhu L H, et al. A receptor kinase-like protein encoded by the rice disease resistance gene, Xa21. Science, 1995, 270: 1804-1806.
doi: 10.1126/science.270.5243.1804 pmid: 8525370
[25] Li J M, Shi X R, Wang C C, Li Q L, Lu J L, Zeng D, Xie J P, Shi Y Y, Zhai W X, Zhou Y L. Genome-wide association study identifies resistance loci for bacterial blight in a collection of Asian temperate japonica rice germplasm. Int J Mol Sci, 2023, 24: 8810.
doi: 10.3390/ijms24108810
[26] 胡兴明, 钱前. 我国杂交粳稻研究的回顾与思考. 中国稻米, 2021, 27(4): 9-11.
doi: 10.3969/j.issn.1006-8082.2021.04.003
Hu X M, Qian Q. Revisiting and thinking on research of japonica hybrid rice in China. China Rice, 2021, 27(4): 9-11 (in Chinese with English abstract).
[1] 陈惠莹, 何嘉欣, 朱斌, 黄士轩, 周星佑, 伍君权, 杨美艳. 水稻黄单胞菌噬菌体vB_XaS_HDB2的全基因组分析和生物学特性研究[J]. 作物学报, 2025, 51(8): 2087-2099.
[2] 张正康, 苏延红, 阮孙美, 张敏, 张攀, 张慧, 曾千春, 罗琼. 疣粒野生稻中OgXa13的克隆和功能研究[J]. 作物学报, 2025, 51(2): 334-346.
[3] 黄林玉, 张潇月, 李豪, 邓梅, 康厚扬, 魏育明, 王际睿, 蒋云峰, 陈国跃. 小麦农家种成株期条锈病抗性QTL定位及其育种效应解析[J]. 作物学报, 2024, 50(9): 2167-2178.
[4] 薛皦, 卢东柏, 刘维, 陆展华, 王石光, 王晓飞, 方志强, 何秀英. 优质稻“粤农丝苗”白叶枯病抗性遗传分析及主效QTL qBB-11-1的精细定位[J]. 作物学报, 2022, 48(9): 2210-2220.
[5] 张一铎, 李国强, 孔忠新, 王玉泉, 李小利, 茹振钢, 贾海燕, 马正强. 基因聚合选育抗赤霉病小麦新品系百农4299[J]. 作物学报, 2022, 48(9): 2221-2227.
[6] 邓钊, 江南, 符辰建, 严天泽, 符星学, 胡小淳, 秦鹏, 刘珊珊, 王凯, 杨远柱. 隆两优与晶两优系列杂交稻的稻瘟病抗性基因分析[J]. 作物学报, 2022, 48(5): 1071-1080.
[7] 朱峥, 王田幸子, 陈悦, 刘玉晴, 燕高伟, 徐珊, 马金姣, 窦世娟, 李莉云, 刘国振. 水稻转录因子WRKY68在Xa21介导的抗白叶枯病反应中发挥正调控作用[J]. 作物学报, 2022, 48(5): 1129-1140.
[8] 赵海涵, 练旺民, 占小登, 徐海明, 张迎信, 程式华, 楼向阳, 曹立勇, 洪永波. 水稻协优9308重组自交系群体白叶枯病抗性的全基因组关联分析[J]. 作物学报, 2022, 48(1): 121-137.
[9] 蒋伟, 潘哲超, 包丽仙, 周福仙, 李燕山, 隋启君, 李先平. 马铃薯资源晚疫病抗性的全基因组关联分析[J]. 作物学报, 2021, 47(2): 245-261.
[10] 闻竞, 沈彦岐, 韩四平, 邢跃先, 张叶, 王梓钰, 李世界, 杨小红, 郝东云, 张艳. 玉米拟轮枝镰孢菌穗腐病抗性基因的挖掘[J]. 作物学报, 2020, 46(9): 1303-1311.
[11] 郑凯丽, 纪志远, 郝巍, 唐永超, 韦叶娜, 胡运高, 赵开军, 王春连. 水稻白叶枯病感病相关基因Xig1的分子鉴定及抗病资源创制[J]. 作物学报, 2020, 46(9): 1332-1339.
[12] 柳海东, 潘云龙, 杜德志. 甘蓝型春油菜早花位点加密及位点聚合创建优异早花资源[J]. 作物学报, 2020, 46(11): 1711-1721.
[13] 张安宁,刘毅,王飞名,谢岳文,孔德艳,聂元元,张分云,毕俊国,余新桥,刘国兰,罗利军. 节水抗旱稻恢复系的抗褐飞虱分子标记辅助选育及抗性评价[J]. 作物学报, 2019, 45(11): 1764-1769.
[14] 江莹芬,战宗祥,朴钟云,张椿雨. 油菜抗根肿病资源创新与利用的研究进展与展望[J]. 作物学报, 2018, 44(11): 1592-1599.
[15] 李晓那,孙石,钟超,韩天富. 黄淮海地区大豆主栽品种对8个大豆疫霉菌株的抗性评价[J]. 作物学报, 2017, 43(12): 1774-1783.
Viewed
Full text


Abstract

Cited

  Shared   
  Discussed   
No Suggested Reading articles found!